症例集 CASE
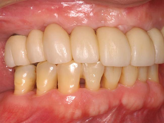
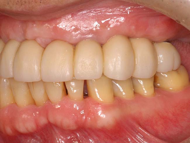
審美・インプラント症例






| 患者さま情報 | 治療期間 | 治療費 |
|---|---|---|
| 57歳 女性 | 1年9ヶ月 | 486,000円 |
リスクや副作用
・予防メンテナンスの欠如により治療の結果が左右される。
・治療期間がかかる。
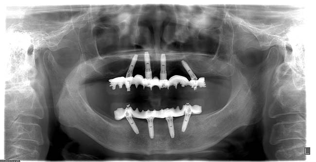
All-on-4を用いた審美・インプラント症例








| 患者さま情報 | 治療期間 | 治療費 |
|---|---|---|
| 57歳 男性 | 1年1ヶ月 | 2,173,500円 |
リスクや副作用
・十分なメンテナンスを行わなければ失敗やトラブルを招く可能性がある。
・外科的治療によるリスクを伴う。
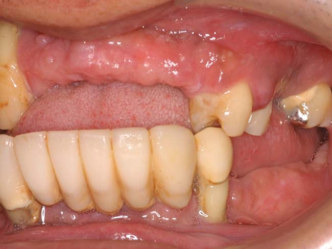
ノーベルガイドを用いた1日でかめるインプラント症例








| 患者さま情報 | 治療期間 | 治療費 |
|---|---|---|
| 68歳 女性 | 上顎:1年4ヶ月 下顎:11ヶ月 |
4,578,000円 |
リスクや副作用
・治療が適応とならないケースがある。
・治療技術・経験のある医師による治療が必要となる。
1日でかめるインプラント難症例








| 患者さま情報 | 治療期間 | 治療費 |
|---|---|---|
| 34歳 男性 | 上顎:1年9ヶ月 下顎:1年3ヶ月 |
5,498,000円 |
リスクや副作用
外科手術により、以下のような症状が出る場合があります。
・術後の数日間の腫れ、疼痛を伴うことがあります
・内出血によるあざができることがあります
治療はすべて各患者さま固有の症例に対応したものであり、他の方への治療結果を保証するものではありません。
前歯1本を埋入


| 患者さま情報 | 治療期間 | 治療費 |
|---|---|---|
| 50代 男性 | 10ヶ月 | 461,500円 |
リスクや副作用
・前歯のインプラントは、審美的なトラブルに発展するケースが多い。
All-on-4 上下




| 患者さま情報 | 治療期間 | 治療費 |
|---|---|---|
| 60代 男性 | 上顎:1年10ヶ月 下顎:1年7ヶ月 |
3,821,000円 |
リスクや副作用
・保険外で高い
・治療が適応とならないケースがある。
・十分なメンテナンスがないと、失敗やトラブルを招く可能性がある。
治療経験・技術がある医師による治療が必要となる。
・外科的治療が必要
下顎のみのAll-on-4




| 患者さま情報 | 治療期間 | 治療費 |
|---|---|---|
| 57歳 女性 | 11ヶ月 | 1,800,000円 |
リスクや副作用
・保険外で高い
・治療が適応とならないケースがある。
・十分なメンテナンスがないと、失敗やトラブルを招く可能性がある。
治療経験・技術がある医師による治療が必要となる。
・外科的治療が必要
治療後の患者さま AFTER
85歳おじいちゃん術後(2時間後)におせんべいを食べる



| 患者さま情報 | 治療期間 | 治療費 |
|---|---|---|
| 85歳 男性 | 上顎:1年 下顎:11ヶ月 |
5,376,000円 |
リスクや副作用
・保険外で高い
・治療が適応とならないケースがある。
・十分なメンテナンスがないと、失敗やトラブルを招く可能性がある。
治療経験・技術がある医師による治療が必要となる。
・外科的治療が必要
こんなに痛みが無く、治療が楽だなんて思いませんでした


| 患者さま情報 | 治療期間 | 治療費 |
|---|---|---|
| 80歳 女性 | 上顎:1年3ヶ月 下顎:1年11ヶ月 |
6,221,000円 |
リスクや副作用
・保険外で高い
・治療が適応とならないケースがある。
・十分なメンテナンスがないと、失敗やトラブルを招く可能性がある。
治療経験・技術がある医師による治療が必要となる。
・外科的治療が必要
若い歯周病患者(30代)のAll-on-4


| 患者さま情報 | 治療期間 | 治療費 |
|---|---|---|
| 30代 男性 | 1年4ヶ月 | 2,491,000円 |
リスクや副作用
・保険外で高い
・治療が適応とならないケースがある。
・十分なメンテナンスがないと、失敗やトラブルを招く可能性がある。
治療経験・技術がある医師による治療が必要となる。
・外科的治療が必要
岩手から7時間半かけて通ってAll-on-4手術


| 患者さま情報 | 治療期間 | 治療費 |
|---|---|---|
| 60代 女性 | 上顎:8ヶ月 下顎:9ヶ月 |
4,284,000円 |
リスクや副作用
・保険外で高い
・治療が適応とならないケースがある。
・十分なメンテナンスがないと、失敗やトラブルを招く可能性がある。
治療経験・技術がある医師による治療が必要となる。
・外科的治療が必要
インプラント効果は絶大です




| 患者さま情報 | 治療期間 | 治療費 |
|---|---|---|
| 66歳 男性 | 上顎:1年2ヶ月 下顎:11ヶ月 |
4,772,400円 |
リスクや副作用
・保険外で高い
・治療が適応とならないケースがある。
・十分なメンテナンスがないと、失敗やトラブルを招く可能性がある。
治療経験・技術がある医師による治療が必要となる。
・外科的治療が必要
入れ歯の不愉快さ、通院の面倒から開放されました




| 患者さま情報 | 治療期間 | 治療費 |
|---|---|---|
| 72歳 男性 | 上顎:11ヶ月 下顎:8ヶ月 |
5,578,000円 |
リスクや副作用
・保険外で高い
・治療が適応とならないケースがある。
・十分なメンテナンスがないと、失敗やトラブルを招く可能性がある。
治療経験・技術がある医師による治療が必要となる。
・外科的治療が必要
インプラント治療のリスク・副作用
外科手術により、以下のような症状が出る場合があります。
- 術後の数日間の腫れ、疼痛を伴うことがあります
- 内出血によるあざができることがあります
治療はすべて各患者さま固有の症例に対応したものであり、他の方への治療結果を保証するものではありません。




